18岁女孩突发癫痫,脑中取出11厘米长活虫,你是否也有这些习惯?
水,是生命之源
但是如果直接喝井水、河水
或是水龙头上刚接的水
十分危险
一个不小心就会脑里长虫!
近日,广东肇庆一名女孩突然两度全身抽搐,失去意识。一查原因,竟然是喜欢攻击大脑的寄生虫裂头蚴在大脑内部乱钻洞,诱发异常放电,进而出现癫痫症状。随后,神经外科通过开颅手术,成功为其取出一条长约11厘米的活虫。
突然癫痫发作,两次症状不同
彤彤(化名)是肇庆某职校的一名学生,第一次癫痫发作时,她正和同学在宿舍吃午饭,突然四肢抽搐、意识不清,过了几分钟才恢复正常。
“清醒过来时,我正被几个同学扶着在去校医室的路上,我还觉得莫名其妙,完全不知道发生了什么。”听同学描述起发病情形时,彤彤也吓了一跳:“以前从没出现过,我还经常运动。”
彤彤在当地医院检查左侧额顶叶脑软化灶形成,被诊断为癫痫,开始服药治疗。几个月后,彤彤再次出现癫痫发作。为寻求进一步诊疗,在家人陪同下去了当地脑科医院癫痫中心。
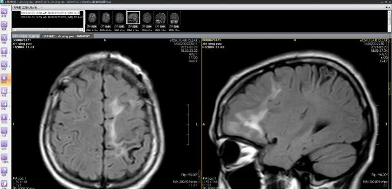
经过系列相关检查,发现彤彤左侧额叶存在多发病变,且两次发作症状不尽相同,怀疑是寄生虫感染。进一步检查结果提示:裂头蚴IgG抗体阳性;视频脑电图显示:左侧额顶叶多发放电。
多发脑软化灶实为虫体在颅内爬行产生的损伤,患者癫痫发作的根源在于寄生虫对大脑的炎性刺激,造成大脑异常放电。

脑软化灶实为虫体在颅内的爬行轨迹;(左)从下往上移动,(右)从后往前移动
神外医生手术抓取11厘米长活虫
通过间隔2周的观察,团队最终精准定位到寄生虫位于患者左侧额叶前部,并在三维脑上描记了虫体位置。随后,团队为患者实施寄生虫抓取及肉芽肿切除术,顺利“活捉”一条长约11厘米的裂头蚴,连同“虫窝”也一并切除了。
虫子是如何进入到彤彤脑子里的呢?们怀疑可能与其幼时多次饮用生水有关。
据彤彤回忆,她自幼生活在农村,小时候不懂事,渴了就直接喝井水、生水。
脑裂头蚴病就多见于饮用未煮开的井水、山泉水,食用半生不熟的蛙、蛇或猪肉,以及局部敷贴生蛙肉、蛇皮等人群。
感染裂头蚴后,患者可出现肢体抽搐、麻木、无力、阵发性头痛,严重时昏迷或伴喷射状呕吐等。一旦明确诊断,主要依靠手术抓取活虫。
因此也提醒市民朋友,日常生活中不可进食生水、生蛙、生蛇肉,勿用蛙肉和蛇皮敷伤口,切生、熟肉的刀及菜板要分开。
目前,彤彤已经康复,将于近日出院。


从患者颅内抓取的11cm长活虫
在饮食方面如何预防寄生虫感染?
1、 管住自己的嘴,不要生吃蛇类和蛙类食物。
2、彻底杀灭裂头蚴需要诸多的条件,我们在处理食物时,千万不要寄希望于任何调料。
这些东西不要生吃
在日常生活中
还有哪些东西不适合生吃?
























