才20岁,怎么就脑梗了?原因竟是……很多人中招了都不知道!
案例:
20岁的刘同学,平时身体健康,无任何不良嗜好,却在一个傍晚,毫无征兆地不省人事,性命垂危。父母看到他全身抽搐、舌头紧缩、口吐白沫,连忙拨打120送往医院。
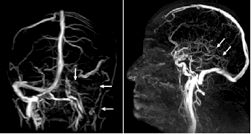
经检查,刘同学的大脑状态在短时间内急剧恶化,多处脑出血和肿胀、头颅CT血管影像中很多静脉血管消失。
经医生确诊,刘同学患的是一种特殊脑梗,致死率可以高达30%~40%,是普通脑梗死亡率的3倍以上!

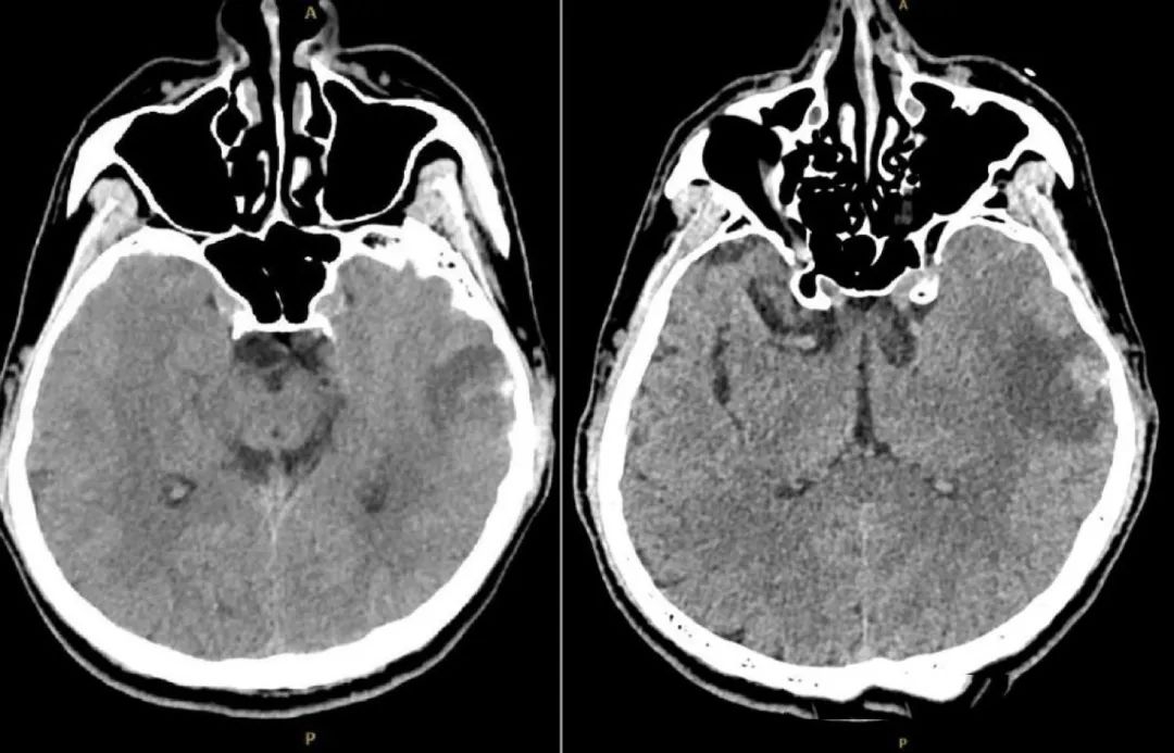
图1. 头颅CT(发病后1周):左侧颞叶血肿可能。

图2.左图示左静脉窦及颈静脉均无血流;
右图示深部静脉系统无血流(→)。
这么危险的脑血管疾病,怎么会突然出现一个身体健康的青年身上?听听怎么说。
壹
这种特殊脑梗
毫无征兆、却致死率极高!
在看过患者影像学报告后告诉我们,刘同学所患脑梗的特殊之处在于,它并不是由于大脑动脉的梗塞,而是静脉脑梗。

图3. 脑静脉系统解剖示意图。蓝色血管代表深静脉系统。
1 它是致命的“大脑炸弹”
正常情况下,我们的血液在一个循环系统里面,有正常的流入和流出。
当静脉堵塞时,动脉血依然可以源源不断地给大脑供给,但是无法很好地回流到心脏了,血液只进不出、瘀滞在大脑里面,从而出现脑水肿,甚至血管爆炸、危及生命。
2 特殊脑梗的“罪魁祸首”
我们以往说脑梗是因为“三高”,即高血糖、高血压和高血脂经年累月累积的结果。
但刘同学48小时内就发生了脑梗,这主要与血液粘稠度高有关。
那究竟哪些习惯导致血粘度升高?
01
餐后缺水
根据中国居民膳食指南,建议成年人每天摄入的盐分要在6克以内。而刘同学口味重,喜欢吃方便面、咸豆腐脑、麻辣拌等高盐食物。
相关测试发现,仅仅一碗298.2克的小葱拌豆腐,就含有6.52克盐,超过了一天的推荐摄盐总量。加上他不爱喝水,这可能会导致其身体脱水,血液粘稠度增加,甚至增加特殊静脉脑梗的风险。因此,我们应该降低盐分摄入,并在餐后摄入充足的水分。
02
夜间缺水
夜间水分大量流失,我们血液的粘稠度比较高,起床后应及时喝一杯白开水。建议水温在25℃左右,这样水分子与人体的细胞亲和性最佳,细胞的吸水能力最强,补水效果最佳。然后就是早上喝水在150~200毫升是比较不错的量,能够充分补充水分而不会过撑。
贰
2个自测方法
判断身体是否缺水

01
揪手背皮肤
手伸直,揪手背皮肤,正常情况下,揪起来会有褶皱。松手后,若皮肤立刻恢复原样,则体内水分充足;若松手后,皮肤维持褶皱3秒以上,则说明机体严重缺水。
02
8小时定律
工作忙起来后,大家往往意识不到口渴,但只要8小时不排尿,则预示体内缺水,应及时补水。

根据中国居民膳食指南,女性每天至少要摄入1500ml的水,男性每天至少要摄入1700ml的水。建议大家每天七次饮水,每次200ml~250ml。















