罕见脑病病例分享丨28岁女孩患上怪病:线粒体脑肌病(MELAS型)
今天要给大家分享的罕见脑病病例,是某院ICU收治的一个病人,我们叫她大梦(化名),是一个28岁的女孩。
打开她的血气报告单,医生们就被上面的数值吓了一跳:她的“乳酸值”比正常人的10倍还要高!
乳酸是当人跑步的时候,身体中分泌出的那种物质,就算是跑完马拉松,人身体中的乳酸值也不过4,而且十多分钟就会被分解掉。而大梦体内的乳酸值居然达到了“>15”。这意味着,大梦身上的血,无论是动脉还是静脉还是毛细血管,几乎都停止流动了,怎么可能活下来呢?医生们试着摸了摸大梦的手,湿冷,跟冰一样。
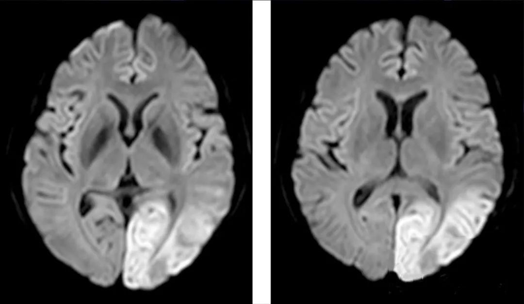
经过一系列的抢救,大梦从昏迷中苏醒过来,初步诊断为“脑炎”。但是单纯的脑炎,无法解释她体内居高不下的乳酸值。经过磁共振检查发现,她的大脑里有一片白雾一样的游走性病灶,这片白雾还在不断扩散、向外蔓延。就像大梦血液几乎停止流动的真相一样,摸不着也抓不到。

右下角白色的地方
就是大梦磁共振上的游走性病灶
根据调取的病史,医生发现大梦曾在两年前出现过肢体乏力的症状,再结合她大脑磁共振上的游走性病灶,排除掉糖尿病、恶性肿瘤等可能导致乳酸升高的原因,只剩下最后一种可能。医生们给她做了个肌肉活检,最终确诊为:线粒体脑肌病(MELAS型)。
线粒体是什么?
线粒体是一种为细胞提供能量的细胞器,是细胞有氧呼吸的场所,是几乎所有真核细胞都有、且必要的一个重要零件,就像汽车的发动机一样重要。人类的大脑和肌肉几乎是消耗能量最多的两个器官,因此当线粒体出现问题,这两处会首先出现症状。线粒体还有一个特点,就是它全部来源于卵子,也就是完全由母亲提供,所以线粒体疾病是母系遗传病。也就是说,当母亲患有线粒体疾病,那么孩子患有线粒体疾病的风险要大大提高!
线粒体的主要功能,就是为人体细胞的各种活动提供能量。得了这个病,意味着发病时全身上下的细胞都得不到足够的能量,比如红细胞想要输送氧气,但它已经没有力气了,搬运不动了。而全身上下的器官都需要细胞的能量,一旦线粒体停止对细胞能量的供应,器官也会接连罢工。器官中对能量需求量特别大的就是肌肉和大脑,症状会格外明显。因此,大梦被送进ICU时,会呈现出抽搐、昏迷的状态。
线粒体脑肌病包含哪些疾病?
线粒体脑肌病通常与基因突变相关,不同的基因位点突变,在临床上表现各有不同,组成多种“综合征”,包括MELAS综合征和MERRF综合征。
MELAS综合征是线粒体脑肌病中最常见的类型,MERRF综合征则表现为口肌阵挛性癫痫伴发肌肉破碎红纤维。
我们今天的重点是MELAS综合征,它的患者发病年龄跨度很大,从幼年到老年的任何年龄均可发病,发病高峰年龄在10~30岁,40岁以后首次发病的晚发成年型MELAS偶有报道。
MELAS综合征有哪些症状表现?
MELAS综合征全名为线粒体脑肌病伴高乳酸血症和卒中样发作。
其症状包括以下几方面:
01
高乳酸血症
大家都有这样的经历:当我们做无氧运动时,乳酸无法及时代谢,就会堆积在体内,出现肌肉酸痛的表现。那么同样地,当线粒体出现问题时,我们的细胞就无法或很难做有氧运动,只能通过无氧运动来供能,那必然会产生大量的乳酸。细胞产生的乳酸多了,就会进入血液,导致高乳酸血症,甚至乳酸酸中毒。患者轻则表现为头晕头痛、肢体无力,重则昏迷,甚至有死亡的风险。
02
卒中样发作
这是该病的核心症状,由于线粒体出了问题、不能保证足够的氧气和血液供应大脑,因此患者的脑部会处于缺血缺氧的状态,在临床上可以出现一侧手脚无力、走路拖步、口角歪斜等类似脑中风的表现,我们称这种现象为卒中样发作。
03
癫痫发作
出现在90%的患者,在卒中样发作期或发作间期均可以出现。同一个患者可有多种癫痫发作形式,其中单纯部分性发作伴或不伴继发全面性发作最常见。部分患者出现多种类型的癫痫持续状态。
04
认知与精神障碍
出现在70%~90%的患者。认知障碍以记忆和理解力减退为主,记忆力以工作记忆下降更明显,伴随词语流畅性下降以及视空间障碍。精神症状主要表现为幻听、幻视、偏执和躁狂等。认知与精神障碍随卒中样发作出现阶梯性加重,在发作缓解期也缓慢进行性发展。
05
头痛
出现在54%~91%的患者,常出现在卒中样发作期,以典型偏头痛或无视觉先兆的普通型偏头痛为主。
06
运动不耐受和(或)肌无力
出现在73%~89%的患者,尤其是儿童患者,常伴随心率加快和呼吸急促。少数患者出现四肢近端无力,个别患者出现眼睑下垂、眼外肌瘫痪,偶见呼吸肌受累。
07
感音神经性耳聋
出现在75%的患者,常起病隐袭,多为双侧,主要影响高频听力,随着年龄的增长呈进行性加重。
08
周围神经疾病
出现在20%~50%的患者,年长以及男性患者更易出现,表现为长度依赖性感觉或感觉运动性神经疾病,肢体远端的感觉异常以深感觉受累为主,出现感觉性共济失调,伴随腱反射消失。
MELAS综合征该如何治疗?
01
饮食治疗
通过高蛋白、高碳水化合物、低脂肪饮食,代偿受损的糖异生和减少脂肪的分解。
02
药物治疗
可服用大量B族、C族和E族维生素、辅酶Q10、自由基清除剂等,补充能量、改善线粒体功能;
服用左卡尼替丁,促进脂类代谢、改善能量代谢;
对于神经功能缺损、急性癫痫发作、糖尿病、心脏病等,采取对症治疗。
03
运动治疗
可进行抗阻力和耐力训练,基于基因漂移学说,合适强度的有氧耐力运动可以一定程度改善线粒体功能,提高血管通透性及线粒体呼吸链的酶活性,可改善患者肌肉无力症状。
经过多次住院治疗,大梦似乎习以为常。大梦最后一次出院以后,便再没得到过她的消息。医院的登记表里,写着大梦的电话,医生们却总是不敢拨通那个电话。
在记录这个故事时,我搜到一段同样患有此病的患者家属自述:
弟弟被确诊为线粒体脑肌病,第一次体会到了什么叫看着亲人等死。现在弟弟已经三岁多了,小男孩也到了最会惹事的时候。但大人们永远对他无微不至,没有任何责备。我宁愿他可以受到管教,大人打他几顿,接受教育。这一切对他来说好像都是奢侈了。















